Wellness and Healthy Living

How many friends you have can be predicted by the size of your ...

How many friends you have can be predicted by the size of your ...
How many friends you have can be predicted by the size of your ... (Image: dan taylor via Flickr)
How many friends you have can be predicted by the size of your ... (Image: dan taylor via Flickr)
View 4 Images
1/4
2/4
3/4
How many friends you have can be predicted by the size of your ... (Image: dan taylor via Flickr)
4/4
How many friends you have can be predicted by the size of your ... (Image: dan taylor via Flickr)
View gallery - 4 images

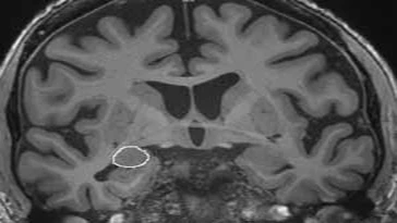
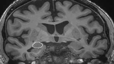
The number of friends you have can be accurately predicted by the size of a small almond-shaped part of the brain called the amygdala, according to a university study published this week. The strong correlation between a larger amygdala and a full social life holds true regardless of age or gender.

Scientists have discovered that the amygdala, deep within the temporal lobe, is important to a rich and varied social life among humans.

"We know that primates who live in larger social groups have a larger amygdala, even when controlling for overall brain size and body size," says Lisa Feldman Barrett, PhD, of the Massachusetts General Hospital (MGH) Psychiatric Neuroimaging Research Program and a Distinguished Professor of Psychology at Northeastern University, who led the study. "We considered a single primate species, humans, and found that the amygdala volume positively correlated with the size and complexity of social networks in adult humans."

The researchers also performed an exploratory analysis of all the subcortical structures within the brain and found no compelling evidence of a similar relationship between any other subcortical structure and the social life of humans. The volume of the amygdala was not related to other social variables in the life of humans, such as life support or social satisfaction.

"This link between amygdala size and social network size and complexity was observed for both older and younger individuals and for both men and women," says Bradford C. Dickerson, MD, of the MGH Department of Neurology and the Martinos Center for Biomedical Research. "This link was specific to the amygdala, because social network size and complexity were not associated with the size of other brain structures." Dickerson is an associate professor of Neurology at Harvard Medical School, and co-led the study with Dr. Barrett.

The researchers asked 58 participants to report information about the size and the complexity of their social networks by completing standard questionnaires that measured the total number of regular social contacts that each participant maintained, as well the number of different groups to which these contacts belonged. Participants, ranging in age from 19 to 83 years, also received a magnetic resonance imaging brain scan to gather information about the structure of various brain structures, including the volume of the amygdala.

A member of the the Martinos Center at MGH, Barrett also notes that the results of the study were consistent with the "social brain hypothesis," which suggests that the human amygdala might have evolved partially to deal with an increasingly complex social life.

"Further research is in progress to try to understand more about how the amygdala and other brain regions are involved in social behavior in humans," Barret says. "We and other researchers are also trying to understand how abnormalities in these brain regions may impair social behavior in neurologic and psychiatric disorders."

The finding was published this week in a new study in Nature Neuroscience and is similar to previous findings in other primate species, which compared the size and complexity of social groups across those species.

The co-authors of the Nature Neuroscience paper are Kevin C. Bickart, Boston University School of Medicine; and Christopher I. Wright, MD, PhD, and Rebecca J. Dautoff of the MGH Psychiatric Neuroimaging Research Program and the Martinos Center. The study was supported by grants from the US National Institutes of Health and the US National Institute on Aging.

View gallery - 4 images
5 comments
5 comments
Raul Zalles
Hey, my amygdala is larger than yours.
whyshywank
I\'m afraid I need proof -_-
Pauline Ick
Read on curious people....
fujiXM
So \"amygdala\" transplants is on the horizon to transform d human into social animal... ;-)
Alexander Peijnenborgh
Question remains, does the amygdala grow bigger if your social life becomes bigger or are you born with a big amygdala and therefore you get more friends?