AI in Health

AI cancer diagnosis tool comes out of stealth mode in China

AI cancer diagnosis tool comes out of stealth mode in China
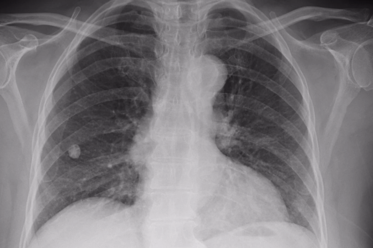
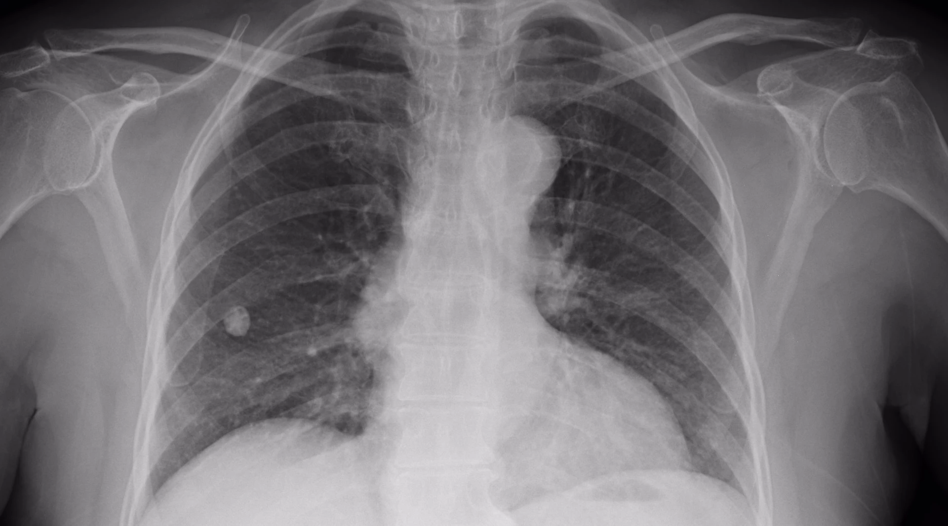
Chinese radiologists look at hundreds of medical images every day. Infervision hopes to use AI and deep learning to dramatically speed up the repetitive work of detecting lung cancer in its early stages
Chinese radiologists look at hundreds of medical images every day. Infervision hopes to use AI and deep learning to dramatically speed up the repetitive work of detecting lung cancer in its early stages
View 3 Images
Chinese radiologists look at hundreds of medical images every day. Infervision hopes to use AI and deep learning to dramatically speed up the repetitive work of detecting lung cancer in its early stages
1/3
Chinese radiologists look at hundreds of medical images every day. Infervision hopes to use AI and deep learning to dramatically speed up the repetitive work of detecting lung cancer in its early stages
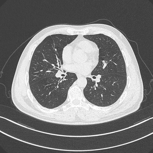
CT scan
2/3
CT scan
Infervision's AI Scholar software draws together over 50 deep learning algorithms in search of fast, accurate cancer diagnoisis
3/3
Infervision's AI Scholar software draws together over 50 deep learning algorithms in search of fast, accurate cancer diagnoisis
View gallery - 3 images

It seems we can add medical imaging to the list of fields about to be revolutionized by artificial intelligence and deep learning computers. A Chinese startup called Infervision has revealed that its intelligent assisted diagnosis software for X-Ray and CT scans has already looked at over 200,000 scans in trials at 20 hospitals around China.

Predominantly used in early-stage lung cancer screening, the system started out with a huge stock of digital health records dating back to 2003 and employed technologies from GE Healthcare, Nvidia and Cisco, as well as more than 50 deep learning algorithms, to refine its diagnosis techniques into a tool it calls AI Scholar.

Infervision's AI Scholar software draws together over 50 deep learning algorithms in search of fast, accurate cancer diagnoisis
Infervision's AI Scholar software draws together over 50 deep learning algorithms in search of fast, accurate cancer diagnoisis

According to China's Toutiao news site, the Infervision system triples the speed at which radiologists can diagnose CT scans, and has helped reduce the rate of missed cancer diagnoses by some 50 percent.

The company's goal is not to replace doctors or radiologists, but to help them get through what's starting to look like an insurmountable workload. According to Weixin, the amount of medical imaging data is growing by 30 percent per year in China, while the number of radiologists is growing by 4.1 percent, leading to 14-hour work days and stressed out workers.

An AI diagnostic tool that's constantly learning and refining its abilities could cut way down on the repetitive work of trawling through scans, chewing through over 100 high-definition Dicom medical images per second, and letting doctors get to more people.

Source: Infervision via Techcrunch

View gallery - 3 images
5 comments
5 comments
habakak
So...it's processed over 200,000 images. At 100 per second. So it's worked for all of 2000 seconds (33 minutes and 20 seconds). The machine sounds lazy to me!
On a more serious note. Yes, these machines are NOT meant to replace humans. They are there to help with a workload humans cannot deal with. As with all technology before. It will just create MORE demand. People's irrational fear of machines taking our jobs are just that. Eventually it leads to more demand because more can be supplied. Our problem is that labor is not adjusting fast enough and our education system is not equipped to deal with these fast changes.
Kpar
It seems a natural development. Too bad the USA is behind on this.
ljaques
Wonderful news. Anything which takes the threat of cancer down a notch is a Very Good Thing. Kudos to the good folks at Infervision.
Crankie Fahrt
USA is only behind because their Medical Health System is seriously broke. The Chinese readily admit that they used many US Patents and processes and received help from some pretty major American companies. They just are putting the pieces together, with a goal-orientated endstate of helping each other, whereas the US model is to attempt to create new things from vacuum (that is, without asking for help from other companies!), fail miserably then complain that the government is not doing enough to help.
The smart ones get together with other companies and create totally new technology by cooperating together for a common good, and not just for profit, as the American Model shows.
ZéSilva
"the company's goal is not to replace doctors or radiologists" For the moment...