It’s well documented that vitamin B12, or cobalamin, helps red blood cells form and facilitates DNA synthesis that protects genetic mutations in our cells. It is also crucial in the development and ongoing function of our brain and nerve cells. Now, scientists have found that this micronutrient also plays a key role in cellular reprogramming and tissue regeneration.
IRB Barcelona researchers discovered this new set of biological tricks while observing how the process of cellular reprogramming in mice required an enormous amount of vitamin B12.
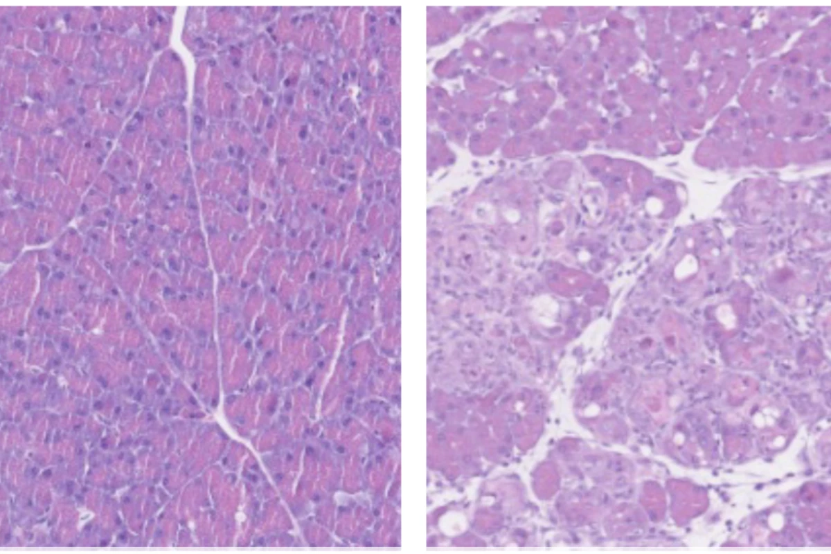
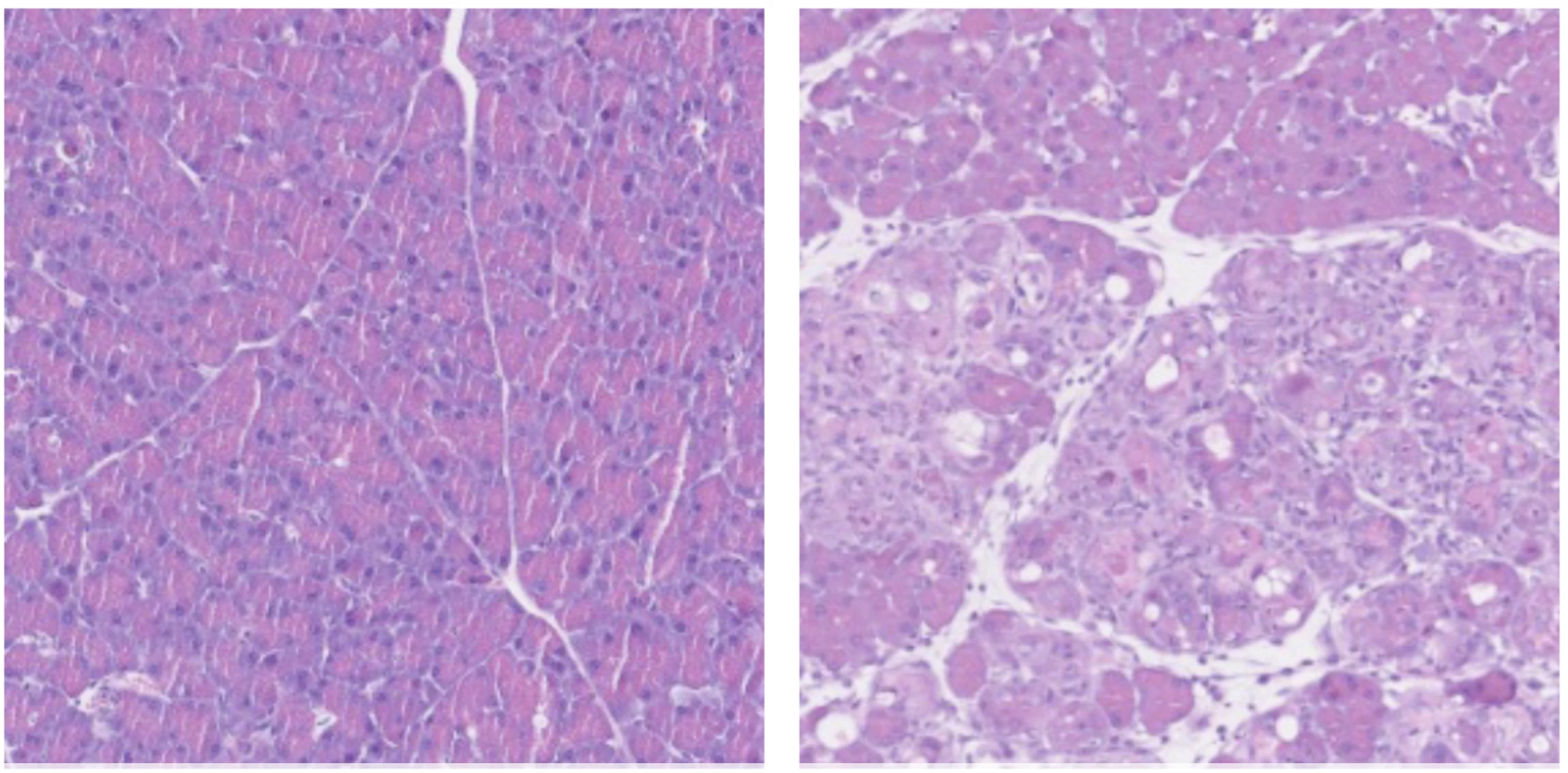
The team then confirmed their findings in another mouse model, this time on animals with ulcerative colitis, a chronic inflammatory bowel disease triggered by a faulty immune response that leads to damage to the large intestine lining. The mice given vitamin B12 supplements saw the intestinal cells undergo a similar process to cellular reprogramming as they began to repair the stomach lining.
This also suggests that vitamin B12 may help patients with the flare-ups caused by intestinal bowel disease.
"Our research uncovers a critical role of vitamin B12 in cellular reprogramming and tissue repair,” said Manuel Serrano from IRB Barcelona. “These findings hold promise for regenerative medicine, with the potential to benefit patients through an improved nutrition.”
The researchers focused on cellular reprogramming, which is a process in which cells lose their specific identity and acquire “embryonic stem pluripotency.” Essentially, this means that these cells can be encouraged to develop into specific kind of cells depending on transcription factors involved.
Before they’re reassigned a new identity, however, there’s an intermediate state that is of particular interest to scientists, as it’s at this point where the cells acquire plasticity and versatility, making them ideal candidates in therapies for organ repair, tissue growth and other kinds of regenerative medicine.
How does this tiny micronutrient fit into this complex world of cellular shapeshifting? To provide cells with this plasticity, they require vitamin B12 in order to facilitate the metabolic process of methylation. In particular, the DNA of the cells acting as the ‘brains’ behind the reprogramming or tissue repair need a great amount of methylation – and, therefore, vitamin B12 supply.
In their study, the researchers found that added vitamin B12 boosted this process considerably, resulting in repair of damaged tissue.
"Supplementation with vitamin B12 corrected this imbalance, resulting in enhanced gene function fidelity and overall improved reprogramming efficiency,” said lead author of the study Marta Kovatcheva.
In another study, Serrano collaborated with scientists from the University of Barcelona and the Hospital Clínic of Barcelona to find that vitamin B12 also had a hand in lowering inflammation.
They found that high vitamin B12 had an inverse effect on the levels of inflammatory markers IL-6 and CRP in the bloodstream. In aged mice, they observed that B12 directly reduces these markers, to in turn dial down inflammatory responses in the body.
Both these studies open the door to explore vitamin B12 as a foundation block in fighting chronic diseases and age-related health conditions.
Vitamin B12 is a micronutrient, which means it can only be derived from diet (with vitamin D the exception). However, only a small amount is needed: the recommended daily intake for men and women aged 14 and older is 2.5 mcg, and slightly higher for people who are pregnant (2.6 mcg) and lactating (2.8 mcg).
It is generally absorbed by consuming fish, liver, red meat, eggs, poultry, and dairy products such as milk and cheese. However, all necessary amounts can also be found in fortified kinds of breakfast cereals, plant milks and meat alternatives, plus nutritional yeast, yeast extract products and shiitake mushrooms.
The most prevalent health condition of low levels is vitamin B12 deficiency anemia, caused by poor red blood cell counts, with symptoms including weak muscles, nausea, fatigue and increased heart rate. Some medications, genetic disorders and disease can also inhibit vitamin B12 absorption.
The study was published in the journal Nature Metabolism.
 
         
 
 
             
 
