Mobile Technology

Smartphone microscope lens that costs just pennies to make

Smartphone microscope lens that costs just pennies to make
Viewing the surface of a leaf on a smartphone through the low-cost lens developed at UH (Photo: University of Houston)
Viewing the surface of a leaf on a smartphone through the low-cost lens developed at UH (Photo: University of Houston)
View 4 Images
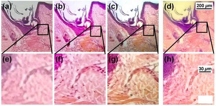
Images a) to c) show human skin and hair follicle captured through a microscope at magnifications of 40, 100 and 200, while d) is an image captured with a smartphone using a PDMS lens and Nokia Lumia 520 – the lowermost row shows the regions magnified (Image: University of Houston)
1/4
Images a) to c) show human skin and hair follicle captured through a microscope at magnifications of 40, 100 and 200, while d) is an image captured with a smartphone using a PDMS lens and Nokia Lumia 520 – the lowermost row shows the regions magnified (Image: University of Houston)
A mosquito seen through the UH polymer lens (Photo: University of Houston)
2/4
A mosquito seen through the UH polymer lens (Photo: University of Houston)
Weed microthistles seen through the UH polymer lens (Photo: University of Houston)
3/4
Weed microthistles seen through the UH polymer lens (Photo: University of Houston)
Viewing the surface of a leaf on a smartphone through the low-cost lens developed at UH (Photo: University of Houston)
4/4
Viewing the surface of a leaf on a smartphone through the low-cost lens developed at UH (Photo: University of Houston)
View gallery - 4 images

Microscopes can be expensive pieces of gear, making access difficult – or non-existent – for students and medical staff in isolated and poorer locales. To help address this, researchers at the University of Houston (UH) have fashioned a lens designed to fit on almost any smartphone. It has the ability to magnify images up to 120 times their original size, and at an estimated production cost of just three cents per lens.

Attaching directly to a smartphone lens without the requirement of extra mounts or accessories, the researchers say the new lens is so easy to use that it is ideal for even younger students. It also has obvious medical uses, and could provide small or isolated clinics with the ability to share images with specialists located elsewhere.

Standard lenses are generally made by polishing glass or molding plastics to create aparticular focal length and magnification. The UH lenses, however, are composed of a polymer known as polydimethylsiloxane (PDMS), and are made by dropping this liquid onto a pre-warmed surface to cure. Unlike conventional lens construction, the lens curvature is not then formed or created mechnically, but is dependent upon the length of time the lensis cured and at what temperature. The lenses produced in this way are said to be supple, somewhat like a soft contact lens.

Like many discoveries, Wei-Chuan Shih, assistant professor of electrical and computer engineering at UH, realized the optical properties of PDMS largely by accident. When, in his work in an interdisciplinary team working on nanobiophotonics and nanofluidics, he dropped some of the material on a labhotplate, he noticed that it solidified on contact with the hot surface. This piqued his interest in the resultant properties of the material and so he decided to attempt making a lens.

"I put it on my phone, and it turns out it works," says Yu-Lung Sung, a doctoral candidate and one of the research team at UH, using the lens on his Nokia Lumia 520."

To prove the efficacy of their lens, the researchers took images of epithelial tissue – in this case a skin-hair follicle mounted on a histological slide – using boththe PDMS lens mounted on a smartphone and an Olympus IX-70 microscope. Accordingto the researchers, at a 120-times magnification, the performance of the new smartphonelens was comparable to that of the Olympus microscope operating at 100-times magnification. The researchers believe that the capabilities of the PDMS lens could be further improved by utilizing software to digitally magnify and enhance the images.

A mosquito seen through the UH polymer lens (Photo: University of Houston)
A mosquito seen through the UH polymer lens (Photo: University of Houston)

"Our lens can transform a smartphone camera into a microscope by simply attaching thelens without any supporting attachments or mechanism," say the researchers. "The strong, yet non-permanent adhesion between PDMS and glass allows the lens to be easily detached after use. An imaging resolution of 1 (micrometer) with an optical magnification of 120X has been achieved."

The UH lens is not the first stick-on smartphone microscope lens, with a low-magnification polymer lens known as the "Micro Phone Lens" launching via Kickstarter in 2013. In fact, the UH lens is not even the first to use PDMS – a similar lens was developed by researchers at the Australian National University (ANU), but the technique incorporated in the UH unit differs from both of these and may offer manufacturing advantages.

In the ANU lens, for example, the polymeris manipulated in a two-step combination process, whereas the UH system is performed in just one application of the polymer. This may be a significant point of economic viability, especially if units are to be manufactured on a large scale.

"A microscopeis much more versatile, but of course, much more expensive," says Sung. "Nearlyeveryone has a smartphone. Instead of using a $30 or $50 attachment that students might use only once or twice, they could use this."

If the lens sounds like something that you could also use, it's currently the subject of a Kickstarter campaign. A pledge of US$10 will currently get you two of the lenses, when and if they reach large-scale production.

The results of the team's research were recently published in the Journal of Biomedical Optics.

The short video below shows the lens in real world use.

Source: University of Houston

Dotlens: the 1μm resolution smartphone microscope lens

View gallery - 4 images
3 comments
3 comments
Kong Ben
wouldn't the smart phone cost way more than a normal microscope.
esar
Remember, there were cameras on phones long before they were "smart" This should work on a piece of perspex up to the naked eye too. If the makers can make these stick on lenses bigger and flatter, maybe they should try making stick on reading glasses?
JBrew
Ok, so where do you buy?