Eight years on from the formation of the Human Cell Atlas (HCA) consortium, which set out with the hugely ambitious task of mapping the entire human body – around 37.2 trillion cells – scientists reveal that it's nearly at its first draft stage. This week, we got more of a glimpse of what's coming, with stunning images that belie the thousands and thousands of hours invested in creating this historic 'cell atlas.'
THE HCA now has more than 3,600 researchers across 102 countries, collaborating on data that covers 18 biological networks in the body.

For one of those networks, more than 30 scientists have mapped fetal development and bone growth, with the video below detailing skeletal formation, where cartilage (blue) acts as a scaffold before bone (purple) is formed. It also details the cellular composition of a developing cranium, where the top has no cartilage. It reveals the unique process of how our skulls form without first having the cartilage blueprint for it.
"While genetic studies have mapped more than 100,000 disease-associated variants in the human genome, we do not know in which cells the majority of these variants are active, and which function they perform," noted researchers in their paper.

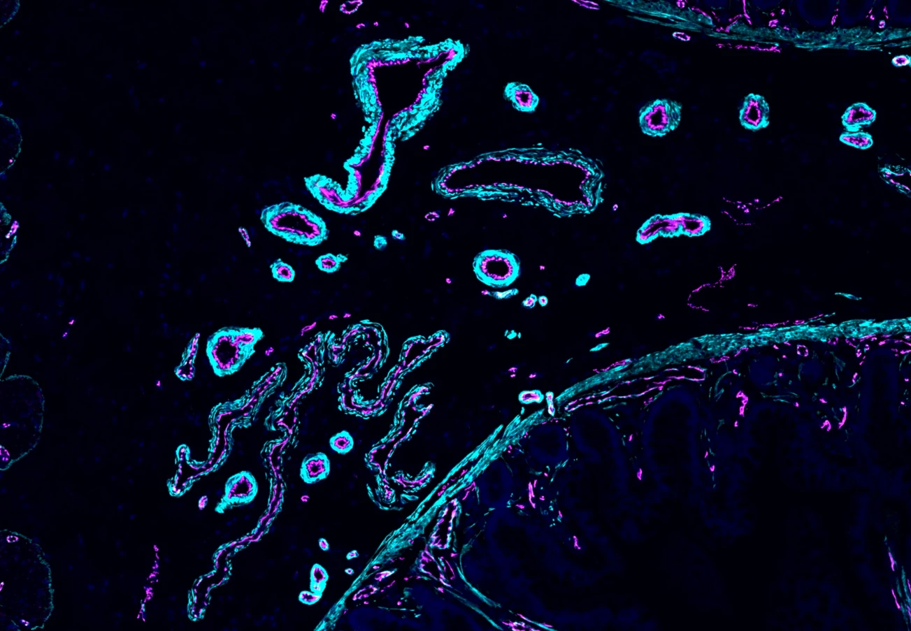
As well as skull bones, the many collaborative teams have looked at the make-up of joints, the gastrointestinal tract, the lungs (above) and aspects of the brain. The aim is to better understand disease development and treatment efficacy, which could have a profound impact on the medical world. And, thanks to technology including AI and machine learning, the project has rapidly accelerated since its 2016 inception. There is a paper on the advanced tech being used to build this complex atlas, too.

Overall, it's a massive step forward in understanding cellular behavior, why some treatments work for some and not others, and in finding personalized therapeutics to account for cellular diversity. This groundbreaking work is expected to provide a comprehensive foundation to make research and drug development far more efficient.
The large collection of new studies have been published across Nature journals.