Researchers have identified three new prostate cancer biomarkers that improve the visibility of cancer cells used by pathologists to grade the disease’s severity. The novel technique could assist in determining which patients require urgent treatment and those who don’t, potentially improving treatment outcomes for millions of men.
In 2020, more than 1.4 million men were diagnosed with prostate cancer, and an estimated 375,304 died. The survival rates for prostate cancer depend on several factors, including the stage and grade of cancer, the person’s age and general health, and their response to treatment.
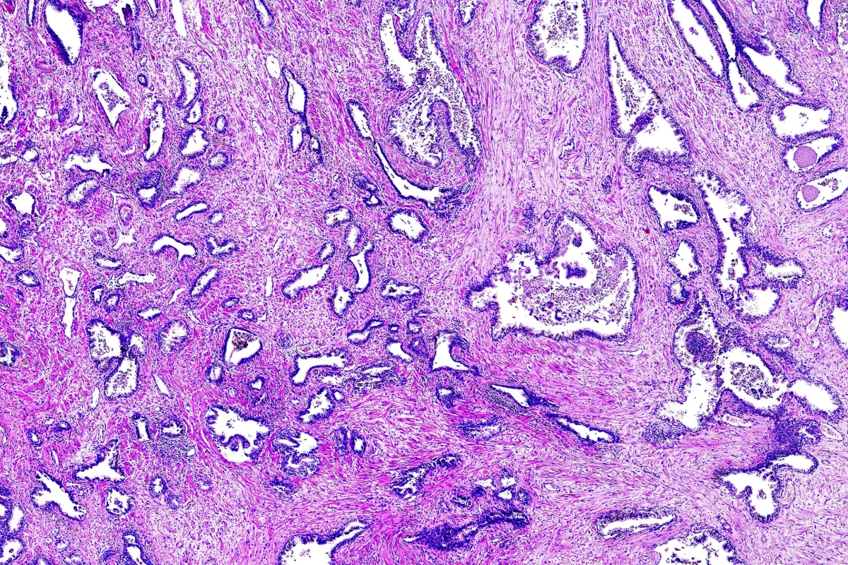
The Gleason score is a mainstay in determining the grade of prostate cancer. A pathologist observes stained cancer cells under a microscope to see how much they look like healthy cells (they get a low score) or abnormal and aggressive cells (high score). This indicates how likely it is that the cancer will advance and spread. A lower-scoring cancer grows more slowly and is less likely to spread than a high-scoring one.
The problem with using the Gleason score is that because humans perform it, it can be subjective. Two observers may arrive at different conclusions. Now, in a new study led by the University of South Australia, researchers have identified three new biomarkers that may help identify and differentiate potentially aggressive cases of prostate cancer.
The researchers aimed to use alterations in cell biology aligned with different grades of prostate cancer to improve upon current diagnostic methods. They looked at the endosome-lysosome system, cell organelles involved in cancer development, and three proteins from this system: Appl1, Sortilin and Syndecan-1. Studies have found that these protein biomarkers may enable pathologists to visualize more features in tissue samples than using regular staining.
The researchers used tissue samples donated by 114 men diagnosed with prostate cancer who’d undergone a radical prostatectomy – surgery to remove the entire prostate gland and surrounding tissue – between 2006 and 2014.
For each patient, the tissue samples were cut into four serial sections. The first section was stained using traditional methods and sent to a board of 11 international genitourinary pathologists, who came to a consensus and assigned a grade to each patient. The remaining sections were labeled with the biomarkers Appl1, Sortilin and Syndecan-1, respectively. Each of the proteins caused different cellular materials to be highlighted. These three tissue sections were then presented to the same 11 pathologists – separated by at least a week to limit the potential for memory bias – and they, on consensus, assigned a grade to each patient.
The researchers found that using the panel of three novel biomarkers improved prognostic predictions in patients with prostate cancer, compared to traditional tissue staining methods. This, they say, will assist in grading prostate cancers to determine which patients require urgent treatment, improving outcomes.
“The biomarkers are remarkably sensitive and specific in accurately visualizing the progress of the cancer and confirming its grade,” said study co-author Robert Brooks. “This discovery has led to the commercial development of a test designed to determine how advanced and aggressive the cancer is and whether immediate treatment is needed.”
The researchers collaborated with the Australian company Envision Sciences to develop the biomarker detection technology used in the study. Envision Sciences has signed a commercialization agreement with Quest Diagnostics, one of the largest diagnostic pathology companies in the US, to take the technology into clinical practice.
Pending a successful outcome in the US, clinical trials using the novel technology are expected to begin in Australia.
The study was published in the journal Cancers.
Source: University of South Australia
 
         
 
 
             
 
