fMRI
-
Why don’t we remember specific events during those crucial first few years, when our brains worked overtime to learn so much? A new Yale study finds evidence that we do form memories, but can’t retrieve them.
-
A severe brain injury can leave patients unresponsive to stimuli, but they may be more aware than we realize. A new study of brain activity has shown that up to a quarter of unresponsive patients may exhibit “hidden consciousness.”
-
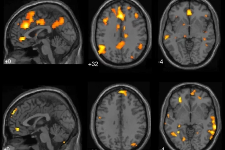
For the first time, research has shown that a person’s beliefs influence brain activity and connectivity, producing a dose-dependent effect that was only thought to occur with pharmaceutical agents. The findings may improve responsiveness to medications.
-
A new study has found that specific regions of the brain are activated after a drug is taken intravenously but not when the same drug is taken orally. The findings could lead to new treatments for addiction.
-
Using brain imaging, researchers have found that obsessive-compulsive disorder affects particular areas of the brain involved in processing certainty during the decision-making process, providing greater insight into this enigmatic condition.
-
Researchers from the UT Austin have created a mind-reading AI system that accurately translates images of a person’s brain activity into a continuous stream of text, with potential applications for people who are conscious but unable to speak,
-
For all their love and companionship, our four-legged friends can cause a lot of stress. Scientists have now mapped the brains of anxious dogs, showing that they are indeed different, and it could lead to better treatment for happier, calmer dogs.
-
When it comes to PTSD, much of the clinical research focuses on improving the condition rather than predicting it. However, a new study has uncovered a brain marker that seems to show who is more likely to develop PTSD when exposed to trauma.
-
A new study has revealed that a human scream can convey a complex range of emotions beyond fear and danger. What's more, our brains perceive and respond to them in different and somewhat counter-intuitive ways.
-
Two new imaging breakthroughs demonstrate a PET/MRI approach to locate specific locations of chronic pain in a patient, and a full-body scanner that can visualize the complete systemic burden of inflammatory arthritis for the very first time.
-
New imaging research is offering insights into the relationship between Alzheimer’s and abnormal accumulations of iron in the brain. The study confirms a correlation between high iron deposits in some brain regions and rates of cognitive decline.
-
A new brain imaging study, examining cognitively healthy middle-aged subjects, is suggesting lower levels of estrogen in women post-menopause could play a role in triggering brain changes linked to Alzheimer’s disease.
Load More