Wellness and Healthy Living

How the immune system keeps tattoos permanent despite constant skin rejuvenation

How the immune system keeps tattoos permanent despite constant skin rejuvenation
On the left is the tattooed mouse tail before the tattoo ink-holding macrophage cells were destroyed and on the right we see the tattoo still there despite the cells being eliminated
On the left is the tattooed mouse tail before the tattoo ink-holding macrophage cells were destroyed and on the right we see the tattoo still there despite the cells being eliminated
View 2 Images
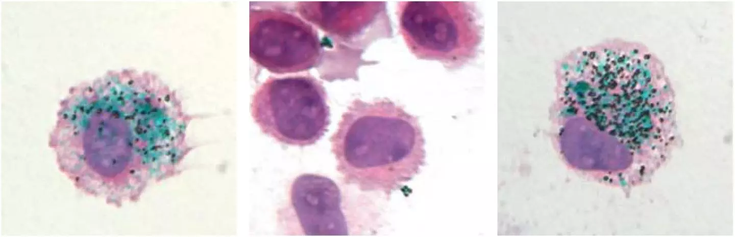
Green tattoo pigment is taken up by dermal macrophages (left). The pigment is released when these cells are killed (center) but, 90 days later, is taken back up into new macrophages that have replaced the old ones (right)
1/2
Green tattoo pigment is taken up by dermal macrophages (left). The pigment is released when these cells are killed (center) but, 90 days later, is taken back up into new macrophages that have replaced the old ones (right)
On the left is the tattooed mouse tail before the tattoo ink-holding macrophage cells were destroyed and on the right we see the tattoo still there despite the cells being eliminated
2/2
On the left is the tattooed mouse tail before the tattoo ink-holding macrophage cells were destroyed and on the right we see the tattoo still there despite the cells being eliminated

A remarkable new study has provided a novel insight into why tattoo ink stays so permanently in a person's skin. Instead of being a static process, it was found that cells in the dermis are constantly dying and passing on the tattoo pigment to new cells so an inked design seems stable. The discovery could lead to more effective tattoo removal techniques.

Until recently, it was thought the permanence of a tattoo in skin was due to the ink simply implanting itself into a deeper non-regenerating skin layer called the dermis. A study from a few years ago then revealed that macrophages, a type of white blood cell regulated by the immune system, actually eat up the pigment as it is tattooed into a body. It was then thought that these macrophages simply reside in a single spot for the rest of a person's life, making a tattoo permanent.

New research from the Centre d'Immunologie de Marseille-Luminy has now revealed that these pigment-carrying macrophages are actually constantly rejuvenating, passing on the tattoo pigment to new macrophages in an unexpectedly dynamic fashion.

The team developed genetically engineered mice that enabled easy destruction of dermal macrophages. A green stripe was tattooed onto the tails of the mice, which were then injected with a solution designed to destroy the specific pigment-holding macrophages. Oddly, despite all the pigment-holding macrophages dying, the tattoo remained stable. This led the researchers to hypothesize that the tattoo ink was being transferred to new macrophages without disturbing the permanence of the tattoo.

Green tattoo pigment is taken up by dermal macrophages (left). The pigment is released when these cells are killed (center) but, 90 days later, is taken back up into new macrophages that have replaced the old ones (right)
Green tattoo pigment is taken up by dermal macrophages (left). The pigment is released when these cells are killed (center) but, 90 days later, is taken back up into new macrophages that have replaced the old ones (right)

To verify this unexpected transference process, the team transplanted a portion of tattooed skin to a new mouse. After six weeks the skin was analyzed to reveal that most of the pigment-holding macrophages were from the recipient and not the donor. This clearly suggested that the donor macrophages had died and transferred the pigment to new, host-derived macrophages.

"We think that, when tattoo pigment-laden macrophages die during the course of adult life, neighboring macrophages recapture the released pigments and insure in a dynamic manner the stable appearance and long-term persistence of tattoos," says Sandrine Henri, one of the leads on the new study.

As well as offering a new insight into how tattoo ink stays permanently in our skin, the research suggests new potential treatments for better tattoo removal. Currently, laser tattoo removal works by blasting the residue ink pigments into particles small enough that they can naturally be drained away by our lymphatic system. But the reason it can take multiple treatments to fully remove a tattoo is that these macrophages are efficient at recapturing the pigment particles before the body can remove them.

"Tattoo removal can be likely improved by combining laser surgery with the transient ablation of the macrophages present in the tattoo area," explains the study's co-lead Bernard Malissen. "As a result, the fragmented pigment particles generated using laser pulses will not be immediately recaptured, a condition increasing the probability of having them drained away via the lymphatic vessels."

The research was published in the Journal of Experimental Medicine.

Source: Rockefeller University Press via Eurekalert

1 comments
1 comment
Gregg Eshelman
Explains why tattoos blur over time. The macrophages ingest pigment particles then move a small distance before dying, then another macrophage eats the remains of the first, including the pigment it was carrying.