Diet & Nutrition

Weight gain single-handedly prevented by a gut microbe

Weight gain single-handedly prevented by a gut microbe
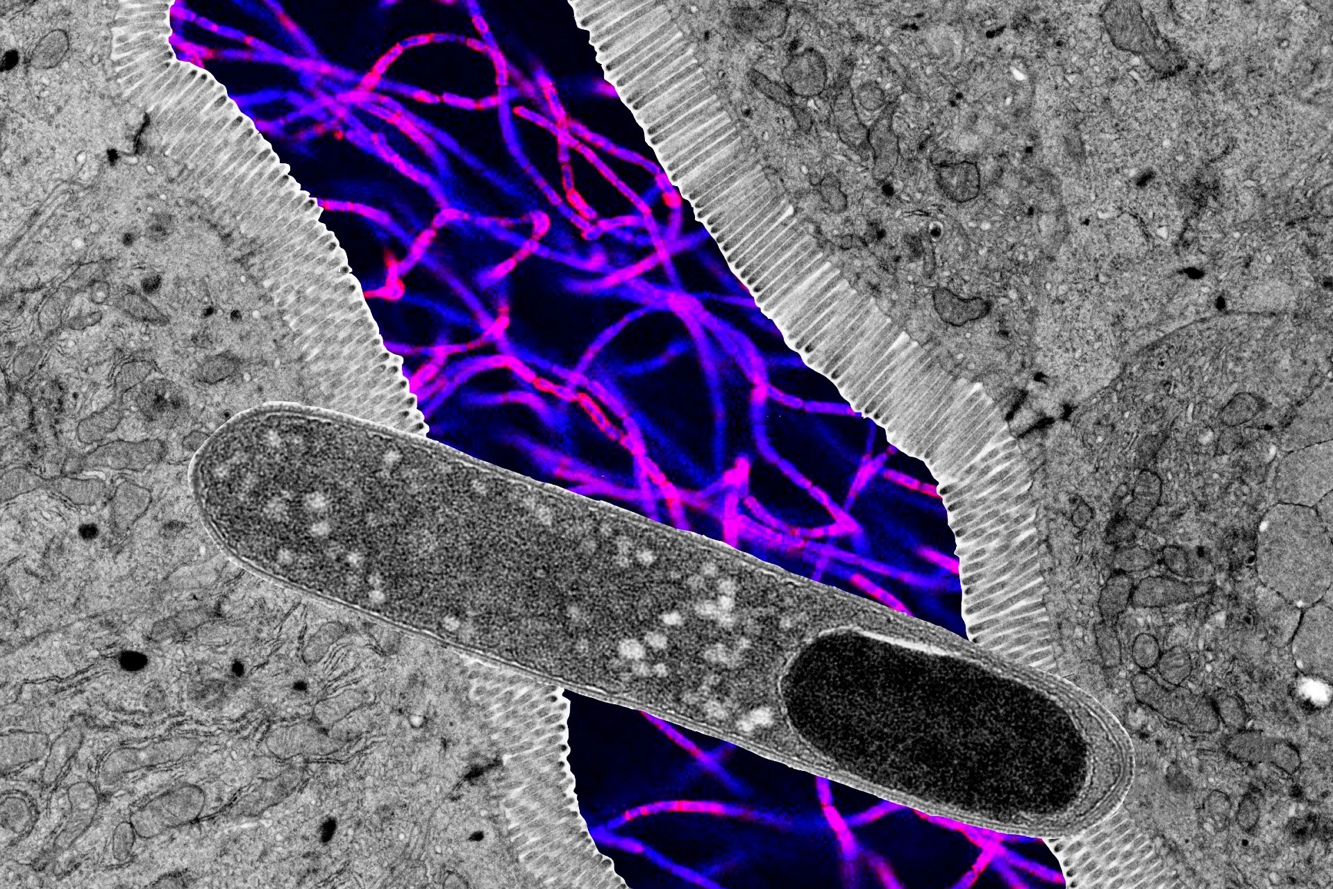
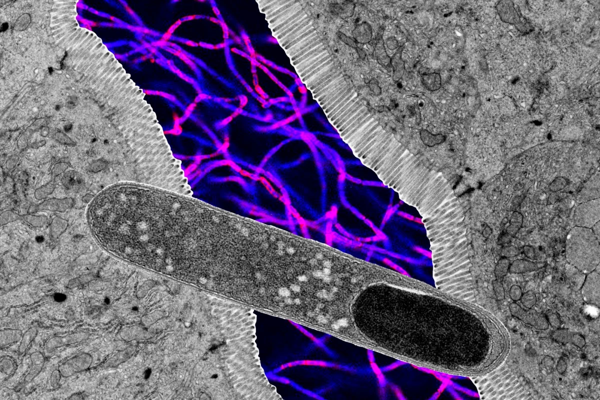
This composite image shows the rod-shaped Turicibacter bacterium in the foreground, with a cross-section of intestinal wall and fluorescent microscopy of other bacteria in the background
This composite image shows the rod-shaped Turicibacter bacterium in the foreground, with a cross-section of intestinal wall and fluorescent microscopy of other bacteria in the background
View 1 Image
This composite image shows the rod-shaped Turicibacter bacterium in the foreground, with a cross-section of intestinal wall and fluorescent microscopy of other bacteria in the background
1/1
This composite image shows the rod-shaped Turicibacter bacterium in the foreground, with a cross-section of intestinal wall and fluorescent microscopy of other bacteria in the background

Researchers have homed in on a single gut microbe that acts to prevent fat gain, even with a high-fat diet. The discovery adds to the booming science of finding ways to enlist the microbes that already live in our bodies to help us improve our health.

It's been known for some time that our gut microbiome – the collection of bacteria, viruses, fungi, and other microscopic critters living in our intestines – can influence weight gain or loss. But narrowing down exactly which members of this microbial community do what can take some effort to tease out. That's because microbes that live inside the body don't do well outside of it, so to test them, they often have to be processed inside airtight environments, because oxygen can often kill them. This takes time.

However, researchers at the University of Utah (U of U) say they have succeeded in whittling down about 100 bacteria suspected of fighting weight gain to just one that really does: Turicibacter.

In their study, mice that were fed a high-fat diet and were also given Turicibacter saw reduced blood sugar, lower levels of fat in the blood, and less overall weight gain compared to a control group.

"I didn’t think one microbe would have such a dramatic effect – I thought it would be a mix of three or four," says June Round, professor of microbiology and immunology at U of U Health, and senior author on the study. "So when [Kendra Klag] brought me the first experiment with Turicibacter and the mice were staying really lean, I was like, 'This is so amazing.' It's pretty exciting when you see those types of results." Klag is the first author on the study.

Fatty feedback loop

The reason why the bacteria was successful in keeping fat-fed mice thin is due to a feedback loop based on fatty molecules called ceramides. These molecules increase on a high-fat diet and, as they accumulate, they not only cause the gut to increase its absorption of dietary fat, but they push the body toward higher storage of that fat. They also spike blood sugar levels, which leads to insulin resistance. This is why elevated ceramide levels have been linked to type 2 diabetes and heart disease. In some studies, in fact, they've been shown to be better predictors of cardiovascular disease than LDL cholesterol.

Somewhat paradoxically, Turicibacter bacteria also produce lipids (fats) in the gut. But the molecules they produce actually tamp down the rise of ceramides, even in the face of high-fat consumption. Furthermore, when a high-fat diet is consumed, it drowns Turicibacter, eliminating its protective effects. In humans with obesity for example, Turicibacter levels in the gut have been found to be reduced.

Regular supplementation in the study, however, kept the levels of Turicibacter-produced fats high and the mice slim and healthy. The researchers admit that it remains to be seen if the same results carry over to humans, but point to its potential in engineering new ways to combat weight gain.

"Identifying what lipid is having this effect is going to be one of the most important future directions, both from a scientific perspective because we want to understand how it works, and from a therapeutic standpoint," says Round. "Perhaps we could use this bacterial lipid, which we know really doesn't have a lot of side effects because people have it in their guts, as a way to keep a healthy weight."

"With further investigation of individual microbes, we will be able to make microbes into medicine and find bacteria that are safe to create a consortium of different bugs that people with different diseases might be lacking," Klag adds.

The research has been published in the journal Cell Metabolism.

Source: University of Utah

5 comments
5 comments
Treon Verdery
Another bacteria that might effect body mass is the LKM512 bacteria utilized to ferment yogurt, At two Japanese studies it heightened longevity 85%-to 100%, doubling longevity of the mice. The mice had 9 multiples less occurence of cancer as well. LKM512 is available online.
aksdad
Interesting, although diabetics use high-fat keto diets to reduce blood sugar and weight gain. Are they triggering Turicibacter or are the U. of U. researchers unaware that fat consumption doesn't necessarily correlate to increased blood sugar and weight gain?
jzj
@ aksdad A keto diet can be successful in weight loss through a different mechanism -- briefly stated, in the absence of carbohydrates, it forces the body to burn fat stores for glucose. Moreover, a keto diet typically rely on animal fats and proteins, and while it is likely to be bad for the user (putting strain on the kidneys, heart, and digestive system), it is definitely bad for the animal and bad for the planet.
jzj
@ Treon Verdery I'm sure you appreciate that "heightened longevity 85%-to 100%" (sic) is an extraordinary claim. I found old studies on line suggesting LKM512 can help reduce intestinal tract inflammation. I couldn't find studies suggesting that it induced any, let alone remarkable, longevity.
Mike E
I believe Aksdad is correct. The Keto / Carnivore lifestyle is helping people on many fronts. I have to do the eyeroll seeing this repetitive mantra of "fat is bad". It is no longer the villain big food and big pharma made it out to be for the last 50 years - give or take. It is well documented and well understood that processed "foods" sugary "foods" and drinks are what have been contributing to the massive weight gains and related diseases overtaking the west. Keto and Carnivore is a big part of making people healthy again. JZJ, where did you get your information?