AI in Health

AI identifies three subtypes of multiple sclerosis in MRI brain scans

AI identifies three subtypes of multiple sclerosis in MRI brain scans
AI analysis of MRI brain scans have identified three new subtypes of multiple sclerosis
AI analysis of MRI brain scans have identified three new subtypes of multiple sclerosis
View 2 Images
AI analysis of MRI brain scans have identified three new subtypes of multiple sclerosis
1/2
AI analysis of MRI brain scans have identified three new subtypes of multiple sclerosis
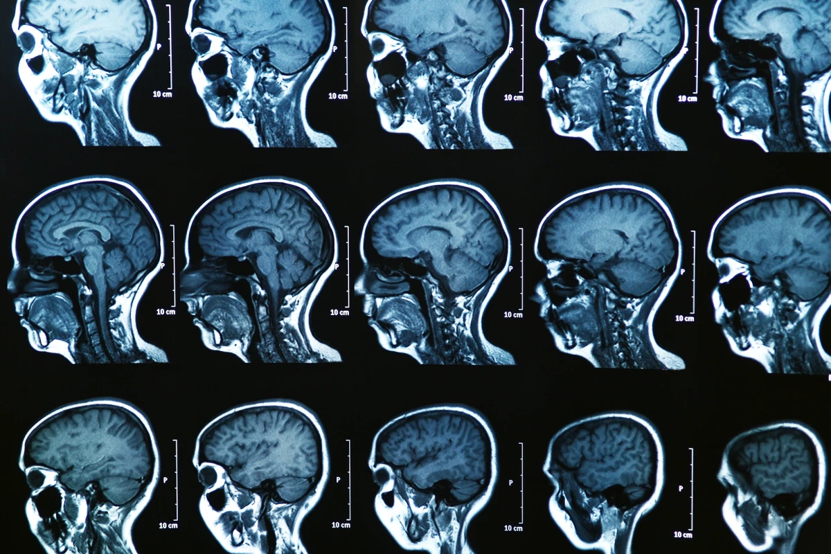
MRI brain scans of MS patients, based on the newly identified subtypes
2/2
MRI brain scans of MS patients, based on the newly identified subtypes

Scientists may have identified three new subtypes of multiple sclerosis (MS). A team trained artificial intelligence algorithms on a large dataset of MRI scans of the brains of MS patients, and uncovered patterns regarding which areas of the brain are affected by the disease first. This could lead to more focused treatment options for different types, and possibly new ones.

Multiple sclerosis is a debilitating disease where the immune system mistakenly attacks the myelin sheath, the fatty tissue that encases nerves. Myelin acts like insulation on electrical wiring, so when it’s damaged the nervous system’s signals can have trouble getting through. That manifests in symptoms such as muscle weakness, spasms, numbness, and problems with balance or coordination.

Currently MS is classified into four types, which are broadly defined based on the activity and progression of the disease; clinically isolated syndrome (CIS) is the initial attack of symptoms, which may be a one-off event or may develop into MS; relapsing-remitting MS (RRMS) is an ongoing stage where patients experience alternating periods of symptoms and remission; primary progressive MS (PPMS) is where symptoms gradually worsen with no remissions in between; and secondary progressive MS (SPMS) occurs in RRMS patients later in life, where remissions stop and a consistent decline begins.

The problem with this categorization is that these four types are more about different stages of a disease, rather than distinct variants. They’re not all that useful in terms of figuring out which treatment options may work best for each patient, since patients can go through several of these “types” over the course of their lives.

So for the new study, researchers investigated whether there are other subtypes that might influence which path a patient is most likely to go down. If these can be diagnosed earlier, more specialized treatments could be administered to give each patient the best chance.

The team set an AI tool called Subtype and Stage Inference (SuStaIn) to work on the MRI brain scans of 6,322 MS patients. In doing so, it identified three new subtypes of MS, which the scientists later named “cortex-led,” “normal-appearing white matter-led,” and “lesion-led.” These names are based on where and what type of abnormalities appear earliest.

MRI brain scans of MS patients, based on the newly identified subtypes
MRI brain scans of MS patients, based on the newly identified subtypes

“Currently MS is classified broadly into progressive and relapsing groups, which are based on patient symptoms; it does not directly rely on the underlying biology of the disease, and therefore cannot assist doctors in choosing the right treatment for the right patients,” says Dr. Arman Eshaghi, lead author of the study. “Here, we used artificial intelligence and asked the question: can AI find MS subtypes that follow a certain pattern on brain images? Our AI has uncovered three data-driven MS subtypes that are defined by pathological abnormalities seen on brain images.”

Next, the researchers locked the AI and set it to work on a further 3,068 patient MRI scans, to verify its ability to identify the three new subtypes. From the data, the team was able to assign different attributes to each subtype. For instance, lesion-led was the least frequent subtype in the dataset, but carried the highest risk of fast-progressing disability.

Armed with this information, medical professionals could eventually be able to better diagnose a patient, and prescribe a treatment that they’re more likely to respond to.

“We did a further retrospective analysis of patient records to see how people with the newly identified MS subtypes responded to various treatments,” says Eshaghi. “While further clinical studies are needed, there was a clear difference, by subtype, in patients’ response to different treatments and in accumulation of disability over time. This is an important step towards predicting individual responses to therapies.”

The research was published in the journal Nature Communications.

Source: University College London

1 comments
1 comment
Karmudjun
Thanks Michael - you have done the research justice! I've never viewed Nature Communications as a medically significant journal - but for a practitioner this is exciting information. If only the correlated types and most effective therapies were published too. Maybe after more research, more MRI & follow-up studies proving "non-inferiority" of adapting the suggested therapies. It is too late for my practice - but I hope these findings do make a difference for future patients. Too many people suffer needlessly with MS, our understanding of interventions has improved tremendously - this study gives another insight into interventions!