A new study published in Nature Communications has offered the most comprehensive investigation to date into the effects of COVID-19 on the brain using nonhuman primates. The study found SARS-CoV-2 infection, regardless of disease severity, can lead to neuroinflammation and small bleeds which may account for many of the neurological symptoms reported by patients.
The study was led by Tracey Fischer from the Tulane National Primate Research Center. Recognizing the potential future need to develop nonhuman primate models for COVID-19 Fischer’s research began early in pandemic.
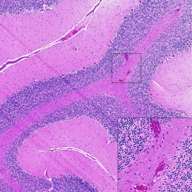
The team’s initial work revealed SARS-CoV-2 infections caused microhemorrhages in the brain. These preliminary findings came so early in the pandemic that experts not affiliated with the work were skeptical. At that point those neurological symptoms had not yet been detected in human patients.
“You see the pathology, and it’s so distinct and so profound,” Fischer said. “I’ve been looking at the central nervous system for decades, so long that you know when something doesn’t appear normal and appears to be in line with the infection.”
Fischer and her team spent an additional year validating those initial findings, as other researchers began to find evidence of similar neurological symptoms in humans. Control animals were studied and research protocols were refined in order to affirm those initially detected brain changes were directly linked to the coronavirus infection.
Alongside the small bleeds, the researchers found severe widespread brain inflammation and neuron damage. Fischer said the neurological damage was not linked to the severity of respiratory disease. This means many animals displayed only mild COVID-19 symptoms yet still experienced neurological damage.

The new study also offers valuable insight into the ongoing debate over whether the neurological impact of COVID-19 is due to broader effects of systemic inflammation or the virus directly infecting the brain. Although the researchers did detect small traces of the SARS-CoV-2 virus in several parts of the brain, the majority of the damage was hypothesized as likely due to intermittent, localized hypoxia.
“This was observed in all infected animals, regardless of disease severity, suggesting reduced brain oxygen may be a common complication of infection,” the researchers concluded in the study. “Even minor, but sustained, reductions in oxygen may promote injury, particularly among neurons, which appear to have suffered the greatest insult in this study.”
The findings add to a growing body of evidence reporting on the effects of COVID-19 on the brain. These studies are helping shed light on a number of acute and chronic neurological symptoms associated with the disease, from fatigue and brain fog to mental health problems.
The researchers do note there are limitations to their findings, particularly in considering the animals used in the investigations were of an advanced age. So it is unclear whether older brains are more susceptible to this kind of cerebrovascular damage, and it’s also still unclear whether this kind of neurological damage is reversible. Long-term follow-up studies on long COVID patients will be needed to answer these questions.
The new study was published in Nature Communications.
Source: Tulane University, NIH Office of Research Infrastructure Programs